- HOME>
- むし歯
痛みがなくても進行するむし歯
「むし歯=痛い」というイメージを持つ方は多いと思いますが、実際には痛みを感じないまま進行することがほとんどです。
むし歯が気になって受診した際に「検査で他の歯にも複数のむし歯が見つかった」という経験をお持ちの方も多いのではないでしょうか。
今は症状がなくても、すでに治療が必要なほど進行した隠れたむし歯が潜んでいる場合があります。
世田谷区の当院では、むし歯を早期に発見し、その状態に合わせて適切にアプローチすることを大切にしています。
早い段階で見つけることで、すぐに削るのではなく、経過を観察したり予防ケアを強化したりと、歯をできるだけ残す対応が可能になります。
痛みが出る前の受診が、健康な歯を守る第一歩です。
今の症状はどの段階か知りましょう
初期むし歯
歯の表面や溝の色が変わって見える状態。
痛みはほとんどありませんが、適切な処置で進行を抑えられる可能性があります。
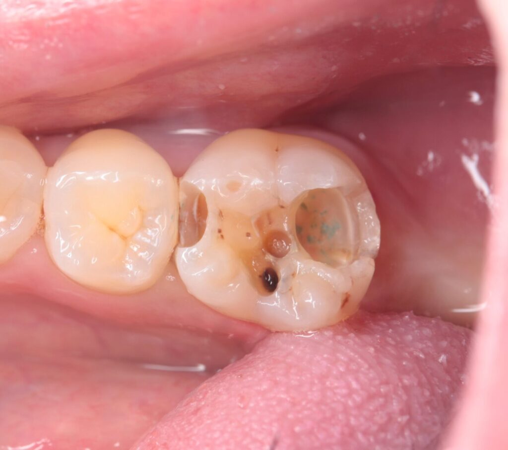
歯の内部まで進行したむし歯
小さな穴が開き、黒っぽく見える状態。
冷たいものや甘いものがしみるなど、自覚症状が出る場合もあります。
神経に達したむし歯
何もしていなくてもズキズキと痛み、熱いものでしみるようになります。噛む時の痛みもあり、早急な治療が必要です。この状態が長く続くと、症状が喪失しますが、決して治ったわけではありません。
歯が大きく失われたむし歯
歯が大きく欠け、噛みにくくなる段階です。強い痛みが出ることもありますが、痛みが特にない場合もあるため注意が必要です。
むし歯をそのまま放置することの危険性
むし歯は自然に治ることがなく、歯を徐々に溶かしていきます。
自覚症状がなくても進行し、最終的には歯を失うことにつながります。一度失われた歯質は人工物で補えても、元の健康な状態には戻りません。
早期に対応することで最小限の治療に抑えられ、痛みも少なく済みます。
場合によっては削らず進行を抑制できるケースもあり、大切な歯を守ることにつながります。
むし歯から大切な歯を守るためには
むし歯治療の多くは「やり直し」です。詰め物の劣化や二次むし歯により再治療を繰り返すと、最終的には抜歯につながります。そのため以下の3つポイントが重要です。
歯を長く守るためにむし歯の治療で大切な3つのポイント
- 可能な限り歯を削らないこと
- 質の高い治療と安定した材料で長持ちさせること
- 定期的なメインテナンスで良好な状態を保つこと
治療時に具体的な方法を丁寧にご説明いたしますのでご安心ください。
初期のむし歯は削らずに治せることもあります
むし歯と聞くと「削って詰める治療」をイメージされる方が多いかもしれません。しかし、むし歯は必ずしも削らなければならないわけではありません。ごく初期の段階であれば、適切なケアや削らない治療によって進行を止めたり、自然に修復されたりすることもあるのです。
初期むし歯(エナメル質初期う蝕)とは
歯の表面に白い斑点(白斑)が現れる段階を「エナメル質初期う蝕」といいます。この時点では痛みもなく、削る必要はありません。フッ素や日々のブラッシングで再石灰化が起こり、回復する可能性があります。
早期発見が大切
初期むし歯は自覚症状がないため、定期検診でのチェックが欠かせません。歯科医院では、
- 視診やレントゲンでの確認
- 必要に応じた口腔内写真での経過観察
などを組み合わせて、進行の有無を正確に見極めます。
削らず守るための取り組み
当院では、初期むし歯が見つかった場合でもすぐに削るのではなく、
- 継続的なチェックと写真での記録
- 清掃状況の確認とブラッシング指導
- フッ化物配合歯磨き剤の使用方法の確認
- 食生活の確認
- プロによるメインテナンス(PMTC)
- 定期的な高濃度フッ素塗布
をおこない、歯を守ることを第一に考えています。
初期のむし歯は「削らない治療」が可能です
大切なのは、早く気づいて適切に管理すること。
定期的に検診を受け、上記の方法を活用して歯をできるだけ削らずに守っていきましょう。
芦花パーク歯科のむし歯治療の特徴
痛みの少ない麻酔
「歯科治療が怖い」と感じる理由のひとつは治療時の痛みです。当院では痛みの少ない麻酔に力を入れています。
- 表面麻酔を十分におこなう
- 33Gと35Gの細い針を使用 (採血や予防接種で使用する針の約1/3〜1/4程度の細さ)
- 麻酔液を体温と同程度に温めてから注入
- 電動麻酔器「アネジェクトⅡ」で速度と圧力をコントロール
「注射されている感覚がほとんどない」
麻酔を目指しています。
視覚的な説明でわかりやすく
口腔内写真やアニメーションソフトを活用し、言葉だけでなく目で見て理解できる説明をおこなっています。
体に優しい材料選び
できる限り銀歯を避け、体への安全性と見た目に配慮した材料を使用しています。ただし、白い詰め物にこだわることで耐久性が損なわれる場合は、金属を提案することもあります。患者さまの状況に合わせ、最適な選択をおこないます。
よくあるご質問
むし歯予防ってどんなことをすればいいの?
毎日の歯磨きに加え、フッ素の活用、食生活への配慮、定期的な歯科医院でのチェックが大切です。
むし歯は「細菌が原因」という意味では感染症といえますが、近年では「非感染性疾患」と位置づけられ、生活習慣病の一面を持っています。つまり、生活習慣を整えることで予防できる病気なのです。
風邪をひかないために体を冷やさない、怪我をしないためにストレッチをする、熱中症にならないように水分をとる――こうした日常の工夫と同じように、むし歯も「ならないための習慣」を身につけることが大切です。
予防自体はシンプルですが、「分かっていても続けられない」という難しさがあります。当院では、お一人おひとりに合った方法をご提案いたします。
麻酔はどれくらいで切れますか?
一般的には1〜2時間ほどで効果が薄れてきますが、個人差が大きく、3〜4時間続くこともあります。体調によって効き方が変わる場合もあります。
当院では治療中の痛みをできるだけ抑えるため、基本的に麻酔を使用します。ただし、痛みが出にくい処置やご希望によっては麻酔をおこなわない場合もあります。
過去に「麻酔が効きやすい」「切れるのが遅い」と感じられた方は、事前にお伝えください。麻酔の量を調整することで負担を軽減できますので、どうぞ遠慮なくご相談ください。
冷たいものを食べると歯がしみます。むし歯でしょうか?
むし歯の可能性もありますが、それ以外の原因によることも多くあります。
しみる原因には、知覚過敏、歯磨きによる摩耗、清掃不良による歯肉退縮、歯周病などが考えられます。中には噛む力で歯にひびが入ってしまうなど、歯にとって深刻なトラブルが隠れている場合もあります。
症状の原因が何かは検査をしないと分かりませんので、早めの受診をおすすめします。特に温かいものでしみる場合は神経のトラブルが起きている可能性が高く、激痛に移行する場合もありますので、お早めの治療が必要です。
電動麻酔器を使うと痛みは少ないのですか?
はい。麻酔液が入る速度や圧力をコントロールできるため、従来よりも痛みを大幅に抑えられます。
麻酔の痛みは「針を刺すとき」と「麻酔液が入るとき」に感じやすいのですが、電動麻酔器は特に後者を和らげる効果があります。実際に治療を受けたスタッフからも「痛くなかった」との声があり、患者さまからも同様のご感想を多くいただいています。
麻酔の痛みが苦手な方には、表面麻酔を長めにおこなうなどの工夫も可能ですので、ご安心ください。
芦花パーク歯科では、患者さまの大切な歯をお守りするために痛みの少ない治療と丁寧な説明を心がけています。
むし歯でお困りの際は、どうぞお気軽にご相談ください。
