- HOME>
- 矯正歯科
矯正歯科治療って何?
歯並びの乱れや、上下の歯がお互いにきちんと噛み合わない状態を、専門的には「不正咬合」といいます。
矯正歯科治療は、不正咬合の患者さまを対象とし、見た目だけでなく噛む機能も整えることを目的とした歯科治療です。
矯正装置で歯や顎の骨にゆっくりと力を加え、時間をかけて正しい位置へと導くことで、きれいな歯並び・正しい噛み合わせを作っていきます。
この不正咬合をそのままにしておくと下記のような問題がでてきます
不正咬合をそのままにしておくと、次のような問題につながる可能性があります。
- 歯ブラシが行き届きにくく、清掃の難易度が高くなる
- 噛む力が一部の歯に偏り、歯が欠けたり根が折れたりするリスクが高まる
- 複雑な歯並びにより治療が難しくなり、入れた人工物も壊れやすくなる
- 顎の骨に負担がかかり、歪みが生じることがある
矯正歯科治療が必要な「不正咬合」
出っ歯(上顎前突)
上の前歯や上顎が前に出ている状態です。
下顎が小さい・後ろにあることで、出っ歯に見えることがあります。
唇を閉じにくくなったり、下の前歯が上の歯茎に当たって傷つけたりすることもあります。
受け口(反対咬合)
下の歯が上の歯より前に出ている噛み合わせです。
前歯の傾きの問題だけでなく、顎の大きさ(下顎が大きい/上顎が小さい)が原因のこともあります。
顎の大きさに原因がある場合、矯正だけでは改善が難しいケースもあります。
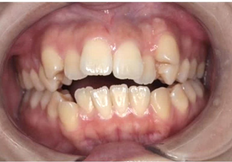
乱杭歯(叢生)・八重歯
歯並びがデコボコに並んでいる状態を「叢生(そうせい)」といいます。
また上の犬歯が唇側(外側)に出ているものを、「八重歯」と呼びます。
八重歯は、日本では好意的に捉えることもありますが、欧米ではマイナスの印象を与えるようです。歯が並ぶ場所(骨の大きさ)に対して、歯が大きいときに起こりやすく、歯ブラシが届きにくいため汚れやむし歯のリスクが高まります。
重なった部分にむし歯ができると、治療が困難なため、短期的に再治療が必要になってしまうケースがあります。
開咬
前歯が噛み合わず、
前歯で食べ物を噛み切りにくい状態です。
発音・飲み込みに問題が生じることがあり、噛む力が奥歯に集中するため、奥歯にさまざまなトラブルが発生しやすくなります。
原因のひとつとして、指しゃぶりなどの癖が挙げられます。
さらに「舌」の位置や使い方、遺伝が原因であることがあります。
手術が必要な顎変形症
上下の顎の骨格が前後・上下・左右に大きくずれている場合、矯正治療だけで噛み合わせを正しく整えられないことがあります。
その場合、顎の骨を切って位置を修正する外科手術を併用する必要があります。
噛み合わせに著しい不具合がある場合には健康保険が適用されますが、治療できるのは指定された医療機関(大学病院や保険適用の指定を受けた歯科診療所)に限られます。
芦花パーク歯科では、手術はできませんが、大学病院と連携して、術前術後の保険適用の矯正治療を行うことができます。
矯正歯科治療の意義
矯正歯科治療は、口腔の健康と機能を守るうえで重要な役割を担っています。
• 口腔は「噛む」「話す」といった生命維持に欠かせない機能を担っています。不正咬合は、歯や顎の形態的な異常によって起こり、これらの機能を妨げることがあります。矯正歯科治療の目的は、それを改善し、機能を回復・予防することです。
• WHOは健康を「身体的・精神的・社会的に満たされた状態」と定義しています。歯や顎の形態は顔全体の印象に影響し、不正咬合は心理的な負担にもつながります。矯正治療は、口腔衛生の改善だけでなく、見た目の改善による自尊心の向上やQOLの向上にもつながります。
例えば…
叢生(歯のデコボコ)の改善は口腔環境を清潔に保ちやすくするだけでなく、患者さまの自尊心の向上にも寄与することが示されています。また、先天的な顎顔面の異常がある患者さまに対しては、機能面の改善に加えて、容貌の改善によるQOL(生活の質)の向上もとても重要な課題です。
不正咬合の治療
不正咬合(歯並びや噛み合わせの問題)は、骨格、歯の位置、生え方、癖、成長の影響など、さまざまな要因が複合して起こります。当院では、まず「なぜその噛み合わせになっているのか」を丁寧に分析し、その方にとって無理のない治療方法をご提案しています。
歯や顎の形に原因がある場合の治療
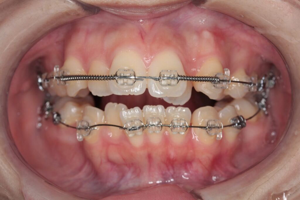
固定式矯正(ワイヤー矯正)
歯をしっかり動かす必要がある場合に選択する方法です。
頭部エックス線規格写真(セファロ)や口腔内スキャンをもとに、歯の角度、顎のバランス、噛み合わせの関係を細かく確認しながら治療計画を立てます。治療後の評価にも力を入れ、仕上がりや安定性を丁寧に確認します。
マウスピース矯正(アライナー矯正)
透明で目立ちにくく、取り外しができる装置です。
ただし、得意な動き・不得意な動きがあるため、「アライナーで治療が可能かどうか」を診断したうえでご説明し、治療計画に沿って進めていきます。
叢生(デコボコ)の治療はスペースづくりが前提
歯が並ぶスペースが不足している場合、叢生(デコボコ)が起こります。
改善には、次のような方法があります。
• 抜歯してスペースを確保する
• IPR(歯と歯の間を少量だけ削って隙間をつくる)
• 軽度の顎の拡大(安全な範囲に限る)
IPRは軽度の叢生に限り効果が見込めますが、すべての症例に向いているわけではなく、当院では慎重に判断しています。
抜歯が必要かどうかの判断
抜歯の有無は単純ではありません。
• 顎の大きさと歯の大きさのバランス
• 横顔のバランス(口元の突出感)
• 口の閉じやすさ
• 治療後の安定性
• 治療期間
• 筋肉や習癖の影響
これらを総合的に判断し、患者さまのご負担が少なく、無理のない治療になるように検討します。
歯列の拡大には限界があります
歯列を横に広げる治療は万能ではなく、必要以上に広げてしまうと後戻りのリスクや噛み合わせの不安定さにつながることがあります。骨格の状態を見ながら、安全におこなえる範囲にとどめています。
骨格に起因する不正咬合の治療
骨格性の問題では、上下の顎の位置関係や成長の方向にズレがあります。
セファロなどの画像で、前後・上下・左右のどこに問題があるのかを確認し、多くの場合、複数の問題が重なっていることを把握します。
成長期のお子さまの場合
成長量や成長方向を予測しながら、顎の成長をコントロールする治療をおこなうことがあります。
ただし、成長による変化は大きいため、長期的な観察が欠かせません。
成人の場合
骨格そのもののズレが大きい場合には、顎の位置を整える外科的矯正治療が必要となることがあります。一方で、すべてを外科的に解決するのではなく、歯の位置でバランスを整える「カムフラージュ治療」を選択することもあります。
歯の形や生え方に問題があるケース
歯が正しい位置に生えないときには、埋伏歯、萌出遅延、異所萌出、骨性癒着、移転歯などが理由になっています。
検査で歯の位置や状態を確認し、周囲の歯への影響を把握します。
埋伏歯や生えにくい歯への治療
正しい位置へ誘導できると判断した場合、「開窓・牽引」という方法を使うことがあります。
歯茎を小さく開き、見えてきた歯に弱い力をかけてゆっくり引き上げていく治療です。
歯の数や形が原因の不正咬合
歯が多すぎる(過剰歯)・足りない(先天欠如)・形が大きく異なる場合、歯並びや噛み合わせに影響します。
レントゲン等で歯の位置・数・形を確認し、必要に応じて抜歯、補綴治療、移植、形態修正などをおこないます。
機能的な問題が原因の場合
舌や口唇の動き、指しゃぶり・舌癖、噛みしめ、口呼吸などの癖、気道の問題などが歯並びに影響することがあります。
形と機能の両方を確認し、必要に応じて筋機能療法(MFT)や行動の見直し、耳鼻科との連携などをおこないます。
芦花パーク歯科の矯正治療について
当院では、不正咬合の原因を多角的に分析し、「患者さまにとって無理がなく、長期的に安定しやすい治療」を重視しています。歯並びや噛み合わせについて気になることがあれば、どうぞお気軽にご相談ください。
治療の評価と保定
矯正治療が終わったあと、きれいに整えた歯並びを維持するためには「保定(ほてい)」が欠かせません。治療が完了しても、歯は時間とともに元の位置に戻ろうとするため、治療後の管理が非常に重要になります。
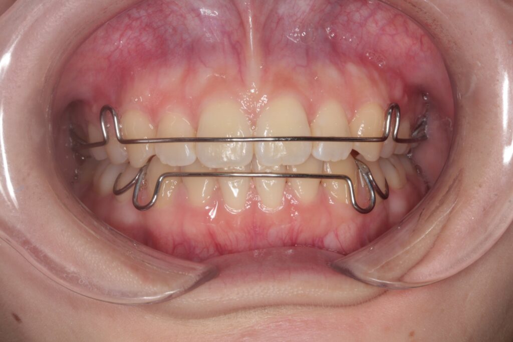
保定の重要性
矯正装置を外したあと、整えた歯並びを安定させるために「保定装置(リテーナー)」を使用します。治療後すぐの時期は歯が動きやすく、保定の協力が結果に大きく影響します。
治療結果の評価と記録
治療の質を向上させるため、治療後も継続して経過を確認します。その際には、以下の資料を必要に応じて記録します。
• 口腔内写真・顔面写真
• 歯列模型
• デンタルエックス線写真
• パノラマエックス線写真
• 頭部エックス線規格写真(またはCBCT)
治療結果の評価は、治療の目的・患者さまの成長段階・治療内容を踏まえておこないます。
再治療が必要になる場合
• 保定装置の使用が不十分
• 予測できない成長
• 舌や口唇の癖などの口腔習癖
• 外傷(ぶつける・転倒など)
このような理由で、治療後に歯並びが変化することがあります。変化の大きい場合には、再治療を検討することがあります。
保定で「永続的に固定される」わけではないことをしっかりとお伝えします
保定は非常に重要ですが、一生涯にわたって歯並びを完全に安定させるものではありません。加齢や歯周組織の変化などにより、歯並びがわずかに変化する可能性があります。こうした自然な変化が起こり得ることは、治療前・治療後の両方でしっかりとご説明させていただいております。
保定計画の立案
保定装置の種類や期間は、患者さまが無理なく続けられる方法を選びながら、長期的に歯列を安定させるための計画を立てます。
• 治療前の状態
• 治療の目的
• 治療で得られた成果
• 今後予測される成長やリスク
矯正歯科治療が保険診療の適用になる場合とは
矯正歯科治療は、一般的には自費診療でおこなわれる治療です。しかし、一部のケースでは保険診療として扱われることがあります。保険が適用されるかどうかは、国が定めている条件に該当するかどうかで決まります。
保険適用となる矯正歯科治療の条件
次のいずれかに該当する場合、矯正治療が保険でおこなえることがあります。
① 特定の疾患に起因する咬合異常
「別に厚生労働大臣が定める疾患」によって噛み合わせの異常が生じている場合、矯正治療が保険適用となります。
(例:口唇裂・口蓋裂など、国が定める疾患)
② 永久歯(前歯・小臼歯)の3歯以上が生えてこない場合
永久歯の前歯および小臼歯のうち3本以上が萌出不全の状態で、その治療に開窓術(歯ぐきを開ける手術)が必要なケースは保険適用となります。
③ 顎変形症に対する矯正治療
上下のあごの骨格的なずれが大きく、外科手術(顎離断など)が必要なケースでは、手術前後の矯正治療が保険診療となります。
保険の矯正治療をおこなえる医療機関について
保険適用の矯正治療は、どの歯科医院でもおこなえるわけではありません。
厚生労働大臣が定めた施設基準を満たし、地方厚生(支)局長に届け出をした医療機関のみが扱うことができます。
当院は、施設基準を満たしているため、
保険適用の矯正治療を行うことができます。
別に厚生労働大臣が定める疾患
- 詳しくみる>>
- 唇顎口蓋裂
ゴールデンハー症候群(鰓弓異常症を含む。)
鎖骨頭蓋骨異形成
トリーチャー・コリンズ症候群
ピエール・ロバン症候群
ダウン症候群
ラッセル・シルバー症候群
ターナー症候群
ベックウィズ・ヴィーデマン症候群
顔面半側萎縮症
先天性ミオパチー
筋ジストロフィー
脊髄性筋萎縮症
顔面半側肥大症
エリス・ヴァンクレベルド症候群
軟骨形成不全症
外胚葉異形成症
神経線維腫症
基底細胞母斑症候群
ヌーナン症候群
マルファン症候群
プラダー・ウィリー症候群
顔面裂(横顔裂、斜顔裂及び正中顔裂を含む。)
大理石骨病
色素失調症
口腔・顔面・指趾症候群
メビウス症候群
歌舞伎症候群
クリッペル・トレノネー・ウェーバー症候群
ウィリアムズ症候群
ビンダー症候群
スティックラー症候群
小舌症
頭蓋骨癒合症(クルーゾン症候群及び尖頭合指症を含む。)
骨形成不全症
フリーマン・シェルドン症候群
ルビンスタイン・ティビ症候群
染色体欠失症候群
ラーセン症候群
濃化異骨症
6歯以上の先天性部分無歯症
CHARGE症候群
マーシャル症候群
成長ホルモン分泌不全性低身長症
ポリエックス症候群
リング18症候群
リンパ管腫
全前脳胞症
クラインフェルター症候群
偽性低アルドステロン症
ソトス症候群
グリコサミノグリカン代謝障害(ムコ多糖症)
線維性骨異形成症
スタージ・ウェーバー症候群
ケルビズム
偽性副甲状腺機能低下症
Ekman-Westborg-Julin症候群
常染色体重複症候群
巨大静脈奇形(頸部口腔咽頭びまん性病変)
毛髪・鼻・指節症候群(Tricho Rhino Phalangeal症候群)
クリッペル・ファイル症候群(先天性頸椎癒合症)
アラジール症候群
高IgE症候群
エーラス・ダンロス症候群
ガードナー症候群(家族性大腸ポリポーシス)
その他顎・口腔の先天異常公益社団法人 日本矯正歯科学会「矯正歯科治療が保険診療の適用になる場合とは」(参照日:2025年12月24日)
よくいただく質問
歯並びを治すべきかどうか、判断する方法があれば教えてください
完璧な歯並びの方はほとんどいらっしゃいませんが、日常生活に支障をきたしたり、将来的なお口のトラブルにつながったりする場合は矯正歯科治療を検討したほうが良いと考えます。
簡単な歯並びや噛み合わせのチェックポイント
• 横顔で唇が出すぎている
• 引っ込みすぎている
• 上下の前歯の中心がずれている
• 歯の重なりや隙間がある
• 食べ物が挟まりやすい
• 磨り減っている歯がある
• 口臭が気になる
私は歯並びが悪いのですが、このままずっと放置すると、どんな不具合が起きるのでしょうか
悪い歯並びや噛み合わせがあると、以下のような問題が起こる可能性があります。
• 顎の正常な成長・発育が阻害される
• ますます歯並びや噛み合わせが悪くなる
• 硬い食物を食べることが困難になる
• むし歯や歯周病が進行しやすく、歯の寿命が短くなる
• 口元が悪く、劣等感を感じることがある
矯正歯科治療を受けたいと考えていますが、良い矯正歯科を見つける方法を教えてください
矯正歯科治療は専門性が高く、十分な修練を積んだ歯科医師による治療が必要です。
歯科医院の選び方のポイント
• 検査機器が充実している
• スタッフ教育など院内体制が整っている
• 歯科医師の専門性と経験
• 治療方針や人柄との相性
料金の安さや立地だけで選ばず、まずは矯正相談を受けて十分な説明を聞くことが大切です。矯正治療は高額で期間も長いため、治療途中での転院は治療方針の変更や期間延長につながる可能性があります。不安がある場合は、複数の医院で相談を受けてから決めることをおすすめします。当院でもご相談を承っておりますのでお気軽にご利用ください。
治療を始める適切な時期は?年齢制限はありますか?
不正咬合の種類にもよりますが、顎の発達に影響する場合は早期治療が推奨されますが、あまりに幼い時期は装置の使用が困難な場合もあります。年齢による治療の制限はありませんが、中学生と中高年では治療方針が異なることがあります。
個別に診断が必要ですので、まずは矯正相談を受けることをおすすめします。
費用と期間はどのくらいかかりますか?
一般に、特殊な病気による不正咬合の矯正歯科治療を除いて、矯正治療は健康保険適用外のため、全額自己負担となります。
費用:一般的な総額で80~120万円程度
期間:装置使用期間2~3年程度+保定期間約2年
簡単な治療なら半年程度、複雑な症例ではより長期間になる場合があります。まずは矯正相談で、改善したい部位をお伝えいただき、具体的な料金や治療期間を確認されることをおすすめします。
装置が見えるのが心配です。どのような装置がありますか?
ワイヤー(表側・裏側)、マウスピースなど様々な装置があります。見た目を重視したい場合も、まずは患者さまの治療に最も適した効果的な装置を第一に検討します。
透明な装置もありますが、装着の大変さや滑舌への影響もあるため、実際に矯正相談で装置を確認することをおすすめします。当院では、患者さまのご希望と治療効果のバランスを考慮しご提案いたします。
受験期に治療を始めるか迷っています。
装置装着当初は痛みがあり(お子さま2~3日、成人1週間程度)、硬い食物が食べにくくなります。通院の度に調整で痛みが出ますが、徐々に軽減されます。
受験期は人生の重要な時期のため、本人の強い意志があれば治療と勉学の両立は可能ですが、受験後の開始でも問題ありません。まずはご本人とよく話し合って決めることをおすすめします。
