芦花パーク歯科は、京王線「芦花公園駅」徒歩2分、旧甲州街道沿いにある歯科医院です。世田谷区南烏山・芦花公園・千歳烏山・八幡山周辺で、前歯の抜歯後の治療、ブリッジ、審美歯科治療をご検討の方に向けて、実際の症例をご紹介します。
今回は、50代男性の患者様に対して、上顎前歯を抜歯した後、ジルコニアブリッジで治療した症例です。
以下に該当する方にご参考になります。
・前歯を抜歯する必要があると言われた
・前歯のブリッジ治療を検討している
・古い差し歯や被せ物の見た目が気になる
・インプラント以外の治療方法を知りたい
・前歯の治療期間や費用を知りたい
・自然な見た目の前歯にしたい
上顎前歯ジルコニアブリッジ(50代男性)
-
治療前

-
治療後

治療の流れ
-
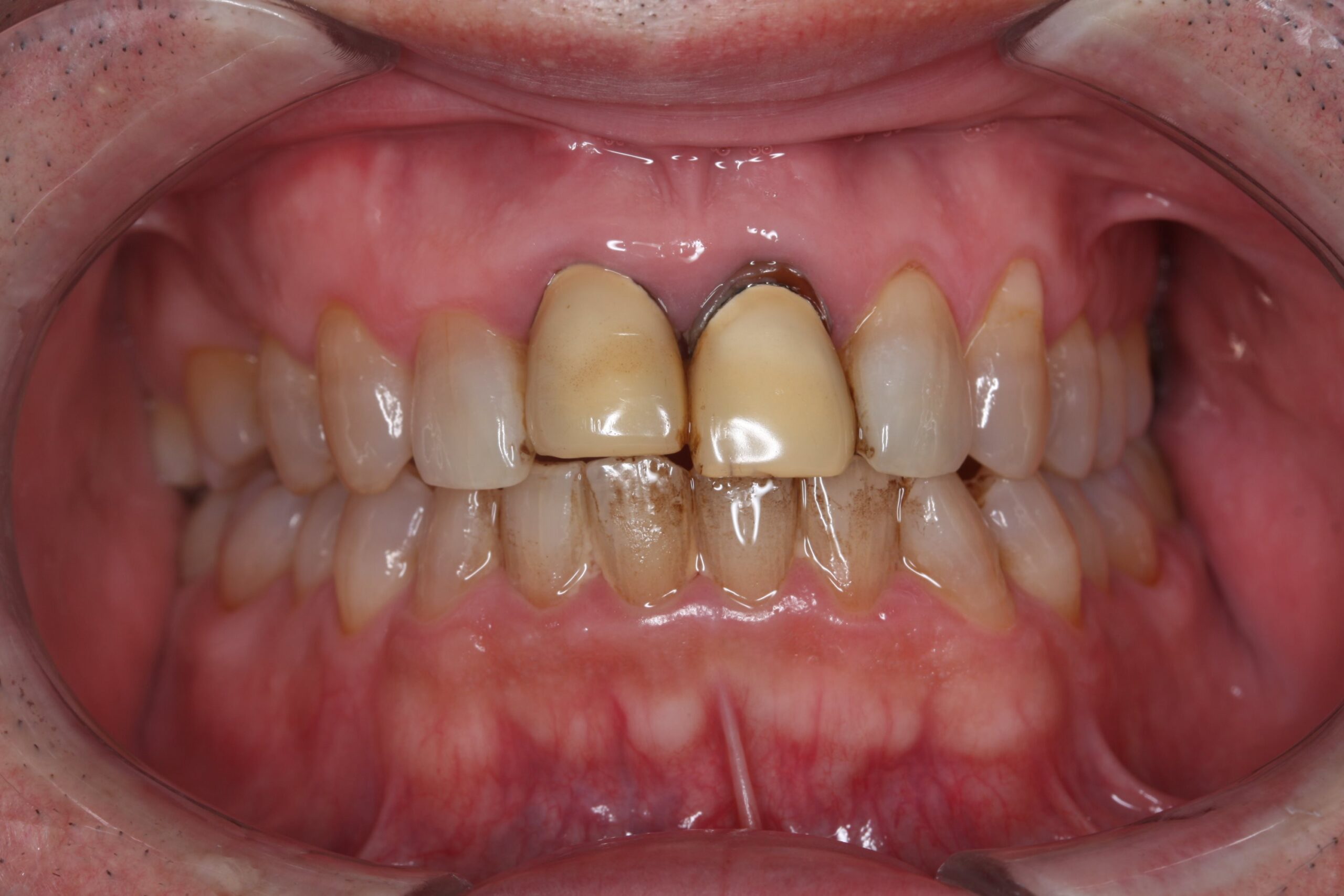
治療前

40年ほど前に治療した上顎前歯。以前、他院にて、治療を提案されていたとのこと。
当院での治療を希望された。 -
レントゲン

レントゲン上で根の治療では改善が難しい大きな透過像(病変)が認められたため、抜歯と判断した。
-
抜歯後3ヶ月

抜歯後は、歯ぐきや骨の形が時間とともに変化します。
そのため、すぐに最終的なブリッジを作製せず、治癒を待ちながら経過を確認しました。
-
型取り時

抜歯した部分の歯ぐきの形がある程度安定したため、最終的なブリッジを作製するための型取りを行いました。
ブリッジでは、見た目だけでなく、清掃しやすい形にすることも大切です。 -
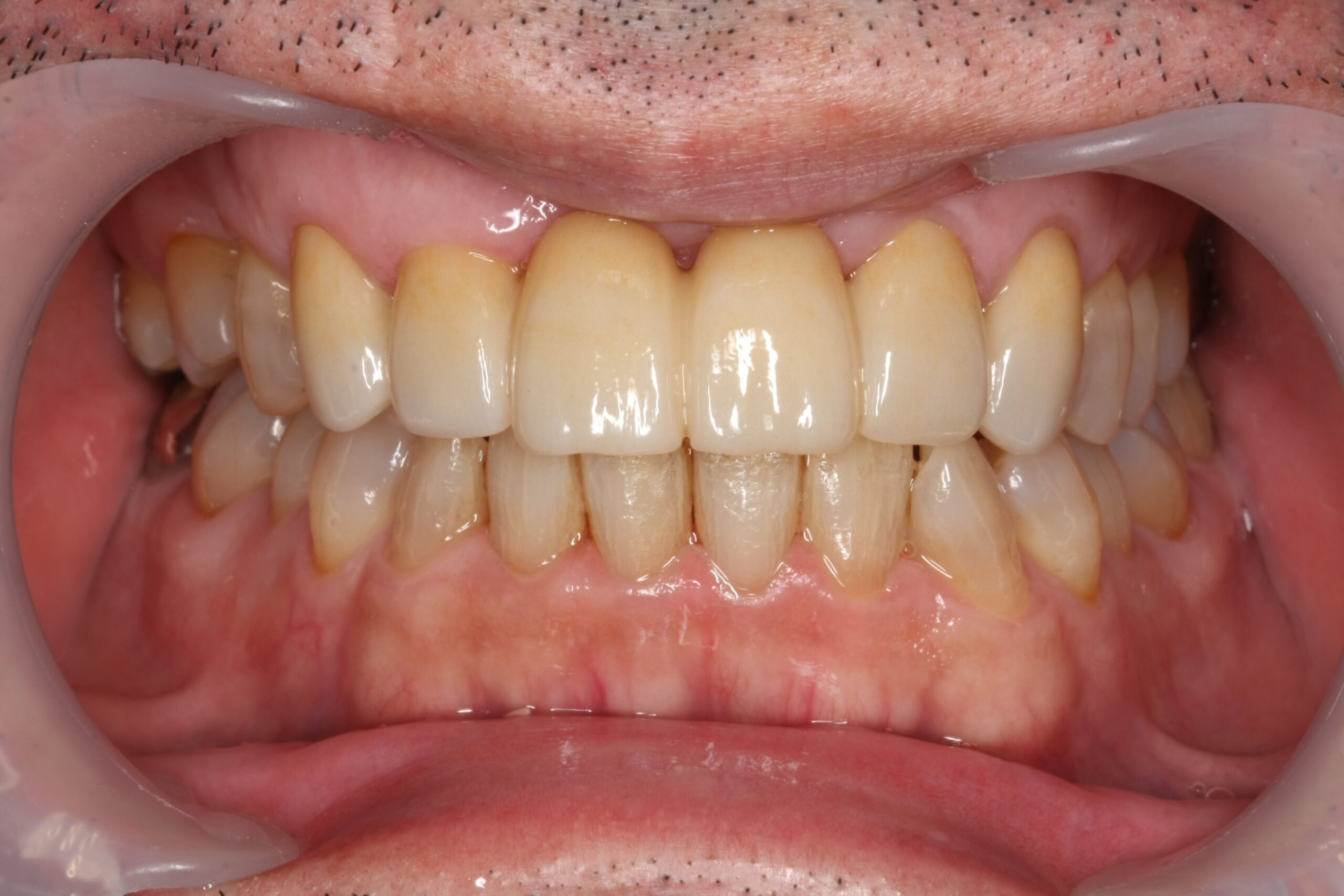
装着時

慎重にセットし、しっかりと噛み合わせ調整を行なった。
骨の吸収が大きかったため、通常よりも歯の長さがやや長くなる可能性があった。
ただし、笑った時に歯ぐきが大きく見えるタイプではなかったため、患者様と相談のうえ、見た目にも大きな違和感が出にくい設計でブリッジを作製した。 -
装着後1年半経過

装着後1年半が経過した状態です。
大きなトラブルなく使用できており、今後も定期的に噛み合わせや清掃状態を確認していきます。
院長よりひと言
この症例では、前歯の根の先に大きな病変があり、保存が難しい状態でした。
インプラント治療も選択肢の一つでしたが、骨の状態から難易度が高くなる可能性があったため、患者様と相談し、今回はジルコニアブリッジで治療する方針としました。
抜歯後すぐに最終的なブリッジを作るのではなく、歯ぐきや骨の治癒を待ってから、最終的な被せ物を作製しています。
そのため治療期間は長くなりましたが、形態や清掃性、噛み合わせを確認しながら進めることができました。
前歯の治療では、見た目だけでなく、歯ぐきの形、噛み合わせ、清掃のしやすさも大切です。
前歯のブリッジや審美歯科治療でお悩みの方は、お気軽にご相談ください。
治療概要
| 性別 | 男性 |
|---|---|
| 治療内容 | 上顎前歯ジルコニアブリッジ |
| 治療期間 | 約1年 ※通常は、抜歯した部位が治る期間を考慮しても、半年ほどです。 |
| 費用 | 保険外診療 : 10万円 × 6本 = 60万円(税込) ※現在とは費用が異なる場合があります |
| リスク・副作用 | ・ブリッジ治療では、土台となる歯を削る必要がある ・歯の状態によっては、治療後にしみる・痛むなどの症状が出ることがある ・噛み合わせの力が強い場合、ブリッジの破折、脱離、一部の欠けが起こる可能性がある ・ジルコニアは強度の高い素材ですが、噛み合わせの管理が重要で、長く使うためには、定期的なメンテナンスが必要 |
審美歯科についてさらに知りたい方は、こちらのページをご参照ください。→審美歯科・セラミック治療
