治療の流れ
-
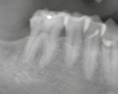
治療前レントゲン

歯の神経に限りなく近いむし歯があります。この時点で、単なるむし歯の治療だけでなく、神経の治療が必要な可能性について説明しました。
-
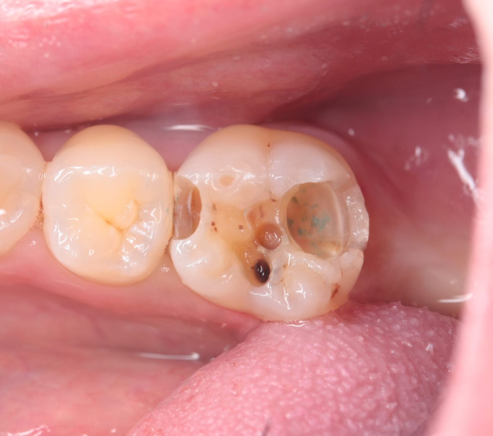
むし歯除去

むし歯が青く染まる液(う蝕検知液)を使用し、感染した歯質を確認しながら慎重に除去しました。
この時点では神経が完全に露出していたわけではありませんが、かなり近い位置までむし歯が進行していました。そのため、すぐに神経の治療へ進むのではなく、まずは仮の詰め物で1〜2週間ほど経過を確認しました。
しかし、その後強い痛みが出たため、神経を残すことは難しいと判断し、根管治療へ移行しました。 -
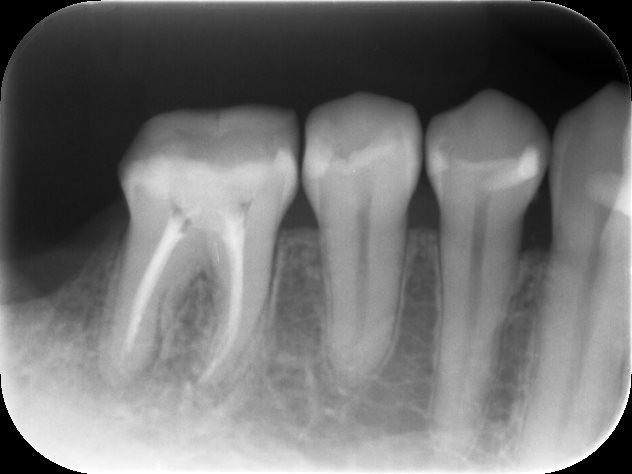
神経の治療完了時のレントゲン

根管治療が完了し、痛みも落ち着いたため、被せ物の作製へ進みました。
-
装着前

被せ物が適合しやすいように歯の形を整え、型取りを行いました。
装着前には、接着の妨げになる汚れや唾液をできるだけ取り除き、清潔な状態で処置を行います。 -
装着準備

装着直前です。
唾液が入り込まないように、「Zoo」という口腔内を乾燥させる装置を使用しました。
被せ物をしっかり接着させるためには、装着時の乾燥状態がとても重要です。 -
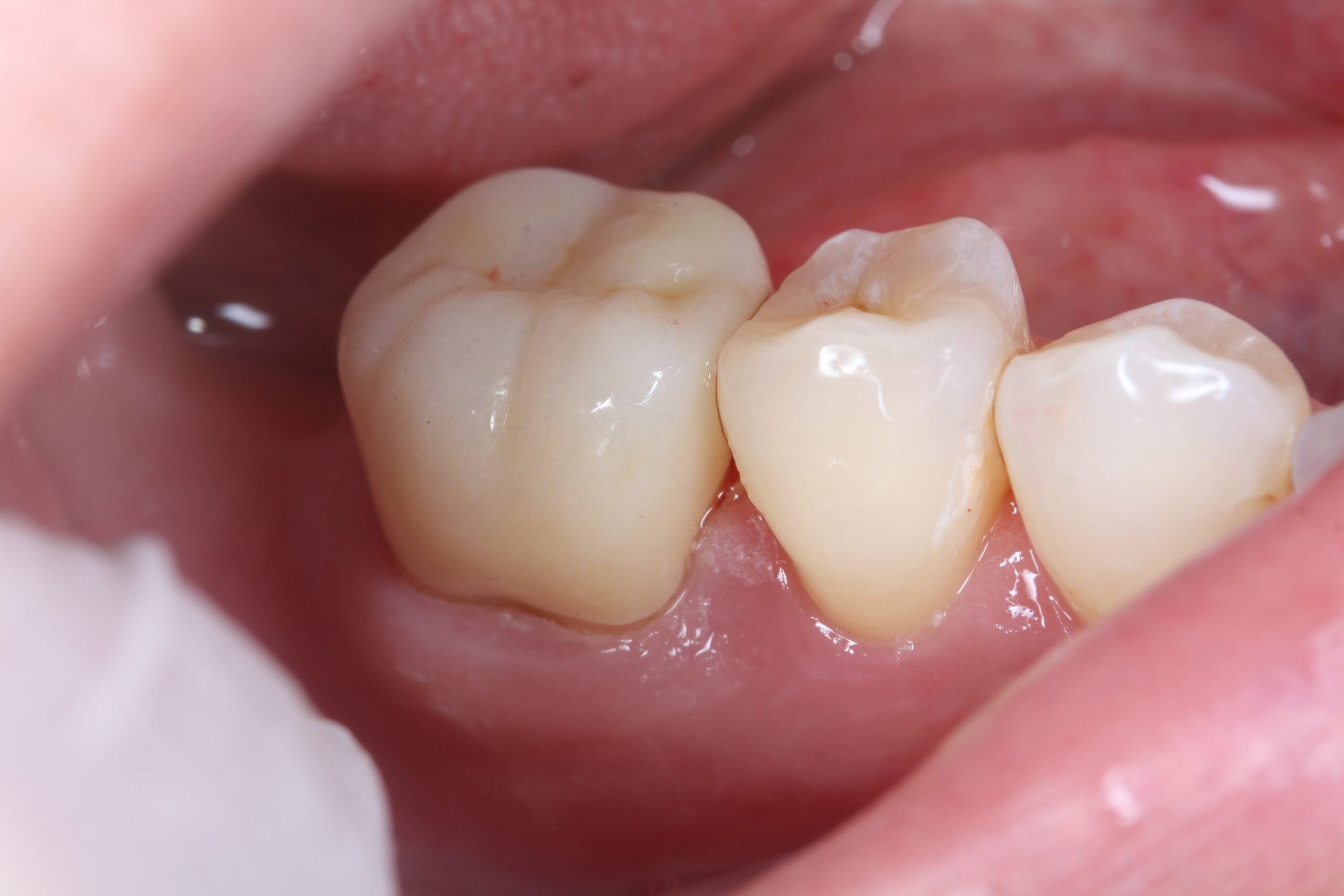
装着直後

色調や形態が周囲の歯と調和し、噛み合わせも確認したうえで装着しました。
院長よりひと言
-

本症例は、神経の治療を行なった後に、ジルコニアクランで噛み合わせを回復させました。
このように一番後ろの歯の治療の際には、噛む力に耐えられる材料を用いることが大切です。
患者様からは、「なるべく長く持つもの」「金属は避けたい」という要望がありましたので、ジルコニアクラウンを提案したところ、希望されました。
ジルコニアは通常のセラミックと比べると、透明感が若干劣りますが、強度があります。
患者様ご自身の歯も、比較的透明度が低いタイプでしたので、色調もマッチし、患者様もご満足されていました。奥歯は噛む力が強くかかる部位のため、神経の治療後には、歯を守るための被せ物選びが重要になります。
ジルコニアクラウンは、金属を使わず、強度にも優れた治療法のひとつですが、すべての方に必ず適しているわけではありません。
当院では、歯の状態、噛み合わせ、患者様のご希望を確認したうえで、保険診療・保険外診療の両方から治療方法をご提案しています。お気軽にご相談ください。
治療概要
| 年齢・性別 | 40代男性 |
|---|---|
| 治療内容 | 下顎奥歯ジルコニアクラウン |
| 治療期間 | 約1ヶ月 |
| 費用 | 保険外診療 : 13万円(税込) ※被せ物分のみ ※治療時点での費用です |
| リスク・副作用 | ・ジルコニアは自然には削れないため、噛み合わせの管理が必要 ・破折や小さくかける可能性がある |
審美歯科についてさらに知りたい方は、こちらのページをご参照ください。→審美歯科・セラミック治療
