60代女性|根の治療で歯根の先に溜まっている膿が改善した症例
-
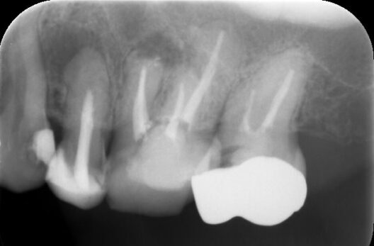
治療前レントゲン

-
治療後レントゲン

治療の流れ
-
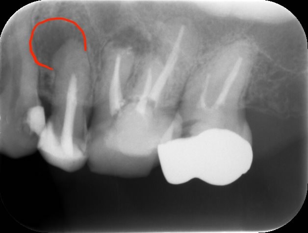
術前レントゲン

噛むと痛みがあるとのことで来院されました。
レントゲン上で、左上5番目に歯の根の先に黒い透過像(赤い丸)が認められ、叩いた時の痛みなどの検査から、患歯が特定できましたので、根の治療(根管治療)を行うことになりました。
-
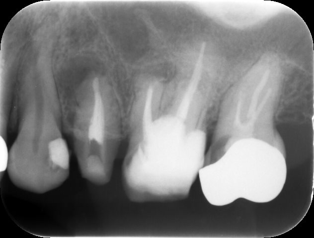
根の治療完了時レントゲン

根管治療が完了しました。レントゲン上では術前と差がありませんが、噛む時の痛みなどの症状は消失していました。
-
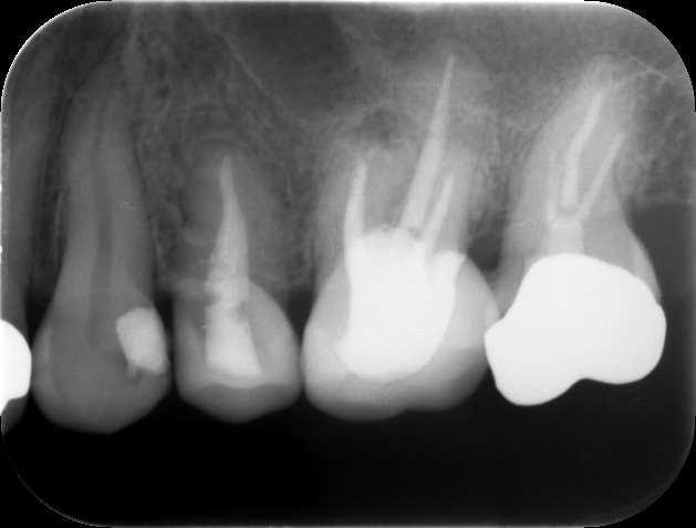
被せ物装着後3ヶ月

被せ物を装着し、6ヶ月が経過した際のレントゲンです。根の先の黒い透過像がなくなっていることがわかります。痛みもなく、経過良好です。
院長よりひと言
来院時に噛むと痛みがあるとのことで、検査をしたところ、レントゲンより左上5番の根の先に膿がたまっていることが確認できました。他の検査でも、5番に問題があったため治療を提案したところ、患者様も治希望されましたので根の治療を行うこととしました。
当院の根管治療は、健康保険の範囲内で行うものと、保険外の治療があります。本症例では、保険範囲内の根管治療を行いました。
保険診療は、簡易的な治療ですが、本症例では綺麗に治っているため安心しました。
治療概要
| 性別 | 女性 |
|---|---|
| 治療内容 | 左上5番根管治療 |
| 治療回数 | 4回 ※根の治療のみ |
| 費用 | 保険診療 |
| リスク・副作用 | 処置後に一時的に痛みが出る場合がある 保険診療のため、簡易的な治療である |
神経(根)の治療についてさらに知りたい方は、こちらのページをご参照ください。→神経(根)の治療
保険診療と自費診療の違いについて知りたい方は、こちらのページをご参照ください。→保険診療と自費診療の違いについて
