なぜ歯科医院でレントゲンを撮るの?知っておきたい理由と安全性
「歯医者さんでレントゲンを撮るのって、なんだかちょっと不安…」「前に撮ったばかりなのに、また撮る必要があるのかな?」
歯科医院でレントゲン撮影を経験された方は、そう思われたことがあるかもしれません。私たち歯科医療従事者にとって、レントゲン撮影は皆さんの大切な歯とお口の健康を守るために非常に重要なステップです。
この記事では、「なぜ歯科医院でレントゲンを撮る必要があるのか?」という疑問にお答えし、レントゲン写真からどんなことがわかるのか、そして撮影の安全性について詳しく解説していきます。
歯科レントゲンの基本的な目的|見えない部分を知る重要性
私たちの歯や歯ぐき、そしてそれを支える骨は、目に見える部分だけではありません。レントゲン撮影は、肉眼では確認できない歯の内部、歯と歯の間、歯の根っこ、そして顎の骨の状態を把握するために不可欠な検査です。
まるで家の基礎や建物の骨組みを見るように、レントゲン写真を通じて、お口の中の「見えない部分」の状態を把握することができます。これにより、表面からは分からない虫歯や、歯周病の進行、その他の隠れた異常を早期に発見し、適切な治療につなげることが可能です。
レントゲンでわかること|虫歯、歯周病、骨の異常
レントゲン写真からは、以下のような多くの情報を得ることができます。
1. 隠れた虫歯の発見(隣接面う蝕)
-
歯と歯の間にできる虫歯は、ある程度の大きさになるまでは目視のみでは確認できません。
-
特に「咬翼法(こうよくほう)」と呼ばれるレントゲン撮影法は、隣接面の虫歯を発見するのに非常に有効です。
-
早期発見・早期治療は、歯を大きく削らずに済むためにも重要です。

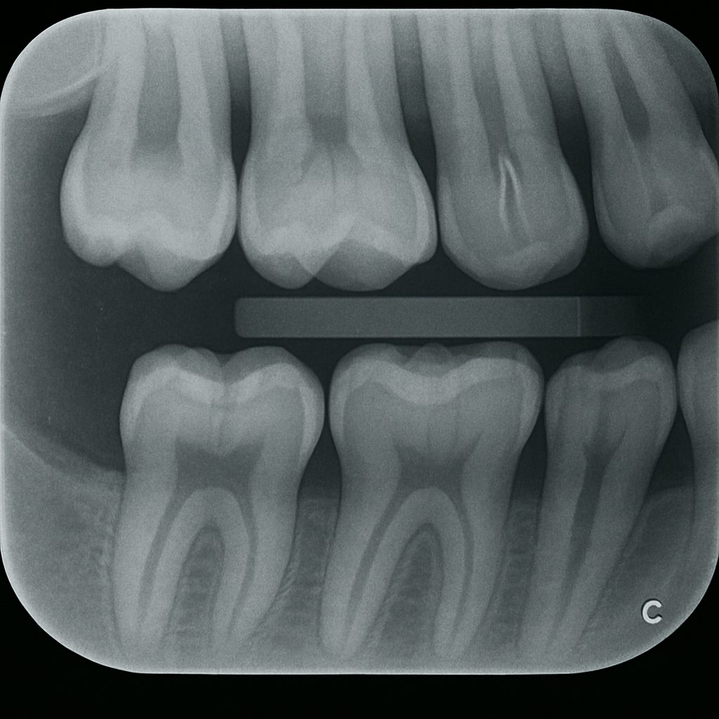
咬翼法(バイトウイング法)によるレントゲン画像。上下の臼歯の歯冠部と隣接面が明瞭に写っており、虫歯の早期発見に有効です。
-
関連ページ: むし歯治療/神経(根)の治療
2. 歯周病の進行度の確認(歯槽骨吸収)
-
歯を支える顎の骨(歯槽骨)は、歯周病が進行すると溶けてしまいます。
-
レントゲン写真では、この歯槽骨の吸収の程度を正確に把握することができます。
-
骨の吸収の度合いによって、歯周病の進行度を判断し、適切な治療計画を立てる上で欠かせない情報です。

重度の歯周病により歯槽骨が大きく吸収された状態のレントゲン画像。左右の歯の動揺や喪失リスクが高まっています。
-
関連ページ: 歯周病治療
3. 歯の根の病気を発見(歯根の先の病変)
-
虫歯が進行して歯の神経まで達してしまった場合や、過去の根管治療の影響で、歯の根の先に膿が溜まる病変が発生することがあります。
-
レントゲンは、このような根の先の小さな病変も見逃しません。

根管治療が必要な状態の根尖病変レントゲン画像。歯根の先に暗い透過像が見られ、感染による炎症や膿の蓄積が疑われます。
-
関連ページ: むし歯治療/神経(根)の治療
4. 歯並びや噛み合わせの評価(埋伏歯・過剰歯)
-
親知らずのように顎の骨の中に埋まっている歯(埋伏歯)や、通常よりも多い数の歯(過剰歯)の存在や位置、周りの歯との関係性を確認することができます。
-
これらは、歯並びや噛み合わせに影響を与える可能性があるため、正確な診断が重要です。

パノラマレントゲンによる埋伏歯(親知らず)の診断画像。水平埋伏や骨内埋伏など、周囲の歯や骨との位置関係を確認できます。
5. 顎の骨の状態を把握(骨粗鬆症やインプラント治療への影響)
-
歯を支える顎の骨の密度や状態を確認することで、骨粗鬆症の可能性やインプラント治療の適応を評価できます。

術前のCT画像によるインプラントシミュレーション。骨幅・骨高・重要な解剖学的構造(上顎洞、下歯槽管)を立体的に評価しています。
-
関連ページ: インプラント/ブリッジ・入れ歯
6. 見過ごせない異常の発見(嚢胞や腫瘍)
-
まれなケースではありますが、顎の骨の中に嚢胞(のうほう)や腫瘍などが見つかることもあります。
-
早期に発見することで、より適切な対応が可能です。
レントゲン検査の信頼性と注意点
-
レントゲンは、視診や触診では発見できない病変を見つけるために非常に有効ですが、偽陽性のリスクもわずかにあります。
-
そのため、歯科医師はレントゲン写真だけでなく、患者さんの症状や既往歴、臨床所見も総合的に判断しています。
-
また、レントゲンは歯や骨の構造的な変化を捉えるものであり、虫歯の活動性(進行中か停止しているか)を判断するのは難しい場合があります。
安心してレントゲン撮影を受けるために
-
「被ばく量が心配…」という声もありますが、歯科用レントゲンの被ばく量は日常生活で自然に浴びる放射線量と比較しても非常に少量です。
-
最新のデジタルレントゲン装置や防護エプロンの使用により、被ばく量を最小限に抑える対策が施されています。
-
不安なことがあれば、ぜひ歯科医師や歯科衛生士にご相談ください。
まとめ|歯科レントゲンで健康を守るために
歯科医院でのレントゲン撮影は、見えない部分の状態を把握し、虫歯や歯周病、その他の異常を早期に発見するための大切な検査です。
正確な診断と適切な治療計画を立てるためには、レントゲン写真から得られる情報が欠かせません。
皆さんの大切な歯とお口の健康を守るために、ご理解とご協力をお願いいたします。
ご予約・ご相談
芦花パーク歯科
京王線芦花公園駅徒歩2分(アクセス)
電話予約:03-5969-8336※web予約をご希望の方はクリック
